Средиземноморскую лихорадку выявили у 70-летнего пенсионера в Воронеже
Врачи БСМП №10 диагностировали у 70-летнего пациента крайне редкое наследственное заболевание – семейную средиземноморскую лихорадку. Об этом сообщила пресс-служба регионального министерства здравоохранения в четверг, 13 ноября.

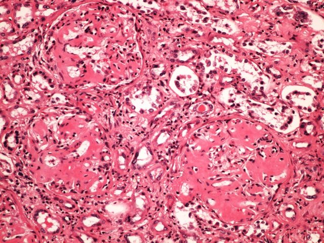
На фото – амилоидоз почек. Для повышения чувствительности препарат окрасили конго-красным
Пенсионер поступил в нефрологическое отделение с жалобами на нарушение функции почек, снижение аппетита и длительные боли в животе. Состояние пациента не улучшалось после стандартной терапии, и для точной постановки диагноза врачи провели комплекс обследований, включая биопсию почек. Анализы подтвердили амилоидоз и выявили редкую патологию – семейную средиземноморскую лихорадку.
– Это заболевание встречается с частотой 2,5 случая на 100 тысяч человек и обусловлено генетическими мутациями. Обычно оно проявляется в детстве, но в данном случае симптомы дебютировали в зрелом возрасте, – пояснили специалисты медучреждения.
После постановки диагноза и назначения специальной терапии состояние пациента значительно улучшилось: нормализовалась работа почек и аппетит, исчез болевой синдром. Диагноз подтвердили врачи-ревматологи и генетики. Обследование родственников пациента показало, что болезнь унаследовал его внук.










Оставляя комментарий, вы соглашаетесь с политикой конфиденциальности и обработки персональных данных и правилами общения на сайте tv-gubernia.ru. Чтобы отслеживать ответы и реакции пользователей на ваши комментарии, необходимо авторизоваться.