Давление 240 и таблетками не снижалось: в Воронеже врачам удалось спасти пациентку с редкой патологией
Воронежские медики вылечили редкую патологию, из-за которой у пациентки началась тяжёлая гипертония (или гипертензия) – давление постоянно было повышенное. Как рассказали в паблике регионального облздрава во ВКонтакте в четверг, 29 января, в кардиологическое отделение городской больницы №3 поступила 57-летняя женщина с ожирением и диабетом второго типа. Давление у пациентки было уже совсем высокое – 240 мм ртутного столба.

Медики под руководством заведующей отделением Ларисы Бородиной составили и выполнили диагностический алгоритм. Помимо УЗИ брюшной полости, почек, надпочечников, кардиограммы, врачи провели КТ–ангиографию органов брюшной полости. Это высокоточная методика, которая позволяет детально визуализировать сосудистое русло и оценить состояние артерий в режиме реального времени.
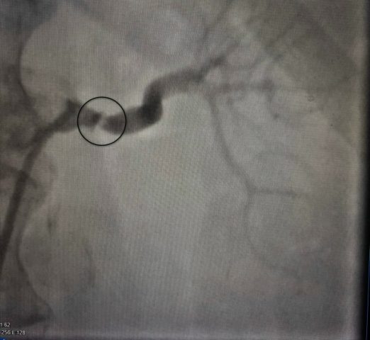
У пациентки выявили критический стеноз (сужение) левой почечной и артерии, что и было причиной гипертензии.
– Патология часто остаётся нераспознанной: на неё приходится до 5% всех случаев гипертонии. Болезнь обрекает пациентов на пожизненный прием неэффективных препаратов и высокий сердечно-сосудистый риск – ишемию почки с возможным развитием нефросклероза, – прокомментировали в облздраве.
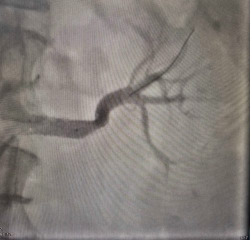
Женщину перевели в областную больницу №1, где выполнили ангиографию (контрастное исследование) почечных артерий. Результаты показали стеноз – сужение до 80%. Тогда пациентке сделали балонную ангиопластику и стентирование артерии – «расширили» артерию и установили стент. Операцию провели под руководством врача отделения рентгенхирургических методов диагностики и лечения Ивана Тимошина. Давление горожанки наконец пришло в норму, что позволило сократить количество лекарств.

Спустя год после операции женщина снова попала в больницу №3 – но уже только для профилактики. Сейчас пациентка чувствует себя хорошо.









Оставляя комментарий, вы соглашаетесь с политикой конфиденциальности и обработки персональных данных и правилами общения на сайте tv-gubernia.ru. Чтобы отслеживать ответы и реакции пользователей на ваши комментарии, необходимо авторизоваться.